Serviços

Dra. Cristina Géo Verçoza oferece um atendimento abrangente e personalizado para mulheres que estão passando pela menopausa. Com uma abordagem integral, Dra. Cristina compreende as complexidades físicas, emocionais e psicológicas dessa fase da vida da mulher.

O tratamento de laser íntimo realizado pela Dra. Cristina Géo Verçoza é uma opção inovadora e eficaz para mulheres que buscam melhorar sua saúde íntima e qualidade de vida.
Clique aqui para visualizar os vídeos explicativos, sobre como funciona o Laser Íntimo.

Os atendimentos realizados pela Dra. Cristina Géo em ginecologia geral abrangem uma variedade de serviços destinados a promover a saúde e o bem-estar das mulheres em todas as fases de suas vidas.

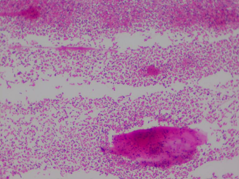
A microscopia do conteúdo vaginal é um exame simples, rápido e de grande utilidade na avaliação de corrimentos, infecções e desequilíbrios da flora vaginal. Permite identificar agentes específicos, além de avaliar o pH e a presença de leucócitos, contribuindo para um diagnóstico mais preciso e tratamento adequado.
- MENOPAUSA
Dra. Cristina Géo Verçoza oferece um atendimento abrangente e personalizado para mulheres que estão passando pela menopausa. Com uma abordagem holística, Dra. Cristina compreende as complexidades físicas, emocionais e psicológicas dessa fase da vida da mulher.
No seu consultório, cada paciente é recebida com empatia e respeito, com espaço para expressar suas preocupações e desafios. Dra. Cristina acredita na importância de ouvir atentamente as experiências individuais de suas pacientes, permitindo que elas se sintam compreendidas e apoiadas durante todo o processo.
Seu tratamento integral da menopausa é baseado em evidências científicas sólidas e nas necessidades específicas de cada paciente. Ela oferece uma variedade de opções de tratamento, que podem incluir terapias hormonais, mudanças no estilo de vida, suplementos naturais e abordagens alternativas, sempre discutindo os prós e contras de cada opção de forma transparente e acessível.
Além disso, fornece recursos educacionais para suas pacientes, capacitando-as a entender melhor as mudanças que estão ocorrendo em seus corpos e a tomar decisões informadas sobre sua saúde.
Com o cuidado compassivo e especializado da Dra. Cristina Verçoza, as mulheres que passam pela menopausa podem enfrentar essa fase da vida com confiança e bem-estar.
2. LASER ÍNTIMO
O tratamento de laser íntimo realizado pela Dra. Cristina Géo Verçoza é uma opção inovadora e eficaz para mulheres que buscam melhorar sua saúde íntima e qualidade de vida. Com experiência e conhecimento especializado, Dra. Cristina oferece o tratamento de laser íntimo para uma variedade de indicações, incluindo:
Atrofia vaginal
O laser íntimo pode ajudar a estimular a produção de colágeno e melhorar a hidratação e a elasticidade da mucosa vaginal, aliviando os sintomas desconfortáveis da atrofia vaginal, como secura, coceira, dor durante a relação sexual e aumento do risco de infecções urinárias.
Flacidez vaginal
Após o parto ou devido ao envelhecimento, muitas mulheres experimentam uma diminuição na firmeza e tonicidade dos tecidos vaginais. O tratamento de laser íntimo pode ajudar a fortalecer e tonificar os músculos e tecidos vaginais, melhorando a sensação de aperto e firmeza.
Incontinência urinária leve a moderada
O laser íntimo pode fortalecer os tecidos ao redor da uretra e da bexiga, ajudando a reduzir os sintomas de incontinência urinária leve a moderada, como escapes de urina ao tossir, espirrar ou fazer exercícios físicos.
Disfunção sexual feminina
Para mulheres que enfrentam dificuldades sexuais, como diminuição da libido, dificuldade em atingir orgasmo ou dor durante o sexo, o tratamento de laser íntimo pode ajudar a melhorar a vascularização e sensibilidade da área genital, promovendo uma resposta sexual mais saudável e satisfatória.
Dra. Cristina Géo realiza uma avaliação completa de cada paciente para determinar a adequação do tratamento de laser íntimo e personalizar o plano de cuidados de acordo com suas necessidades específicas. Seu compromisso com a excelência e o bem-estar de suas pacientes garante que elas recebam um tratamento seguro, eficaz e confortável, totalmente indolor.
3. GINECOLOGIA GERAL
Os atendimentos realizados pela Dra. Cristina Géo em ginecologia geral abrangem uma variedade de serviços destinados a promover a saúde e o bem-estar das mulheres em todas as fases de suas vidas. Alguns dos atendimentos oferecidos incluem:
Consultas de rotina: Exames ginecológicos regulares são essenciais para a detecção precoce de condições médicas, como câncer cervical, infecções, distúrbios hormonais e outras preocupações ginecológicas.
Planejamento familiar: Dra. Cristina oferece orientação sobre métodos contraceptivos, ajudando as pacientes a escolher o método mais adequado às suas necessidades e estilo de vida.
Tratamento de infecções sexualmente transmissíveis (ISTs): Diagnóstico e tratamento de ISTs, bem como aconselhamento sobre prevenção e práticas sexuais seguras.
Avaliação e tratamento de distúrbios menstruais: Dra. Cristina ajuda as pacientes a entender e tratar problemas menstruais, como menstruação irregular, dor menstrual intensa e distúrbios relacionados à menstruação.
Rastreamento e tratamento de condições ginecológicas: Isso inclui avaliação e tratamento de condições como endometriose, miomas uterinos, síndrome dos ovários policísticos (SOP), entre outras.
4. MICROSCOPIA DE CONTEÚDO VAGINAL – O QUE É E PARA QUE SERVE
A microscopia do conteúdo vaginal é um exame simples feito no consultório, onde uma amostra do corrimento vaginal é analisada no microscópio. Esse exame permite observar diretamente a presença de fungos, protozoários, além de avaliar o pH vaginal, a quantidade de leucócitos (células de defesa) e a integridade da flora vaginal.
Esse método é especialmente útil em mulheres que apresentam corrimentos de repetição, que já usaram vários tratamentos sem melhora ou que recebem diagnósticos diferentes a cada consulta. Ao analisar o material diretamente, o exame ajuda a identificar com mais precisão a causa do desconforto e escolher o tratamento mais adequado para cada caso.
É um exame rápido, indolor e com resultados imediatos, que pode fazer toda a diferença na conduta clínica e no bem-estar da paciente.
marque a sua consulta
Sua saúde é uma prioridade e estamos aqui para ajudá-la a se sentir no seu melhor. Não adie mais o cuidado que você merece. Reserve seu horário agora e dê o primeiro passo em direção a uma saúde feminina vibrante e equilibrada.
Estamos ansiosas para recebê-la em nosso consultório!




